

Sie können den Schieberegler zur rechten und linken Seite bewegen, um einen exakten Eindruck unser durchgeführten Arbeiten zu bekommen.
Veneers
Vorher
Die Patientin, 48 Jahre, kam mit multiplen Problemen in unsere Praxis. Zum einen hatte sie eine durch Medikamente verursachte generalisierte Verfärbung aller Zähne. Zum anderen erlitt sie bei einem Fahrradunfall im vergangenen Jahr einen Kieferbruch beidseits und eine damit komplette Verschiebung des Unterkiefers, sowie mehrfache Zahnfrakturen.
Nachher
Nach einjähriger Rekonvaleszenz mit Funktioneller Therapie mit Hilfe von Schienen, sowie enger physiotherapeutischer Begleitung, konnten wir in diesem sehr komplexen Fall eine ästhetisch ansprechende Rekonstruktion wagen, mit der die Patientin auch wieder schmerzfrei essen kann und der Eindruck von gesunden und natürlichen Zähnen wiederhergestellt wurde.


Veneers
Vorher
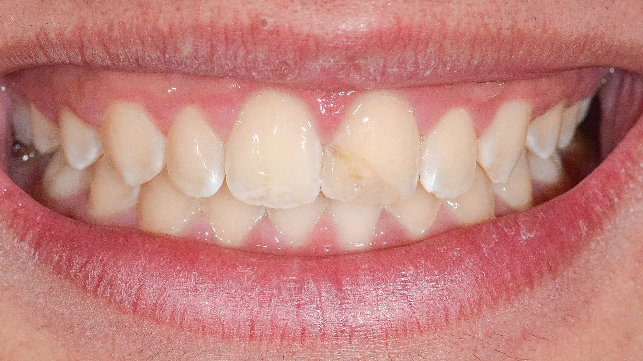
Der Patient, 52 Jahre, kam mit einem stark verfärbten Zahn und danebenliegender insuffizienter Krone in unsere Praxis.
Nachher
Durch minimalinvasive Vorbereitung mit einem Veneer und einer neuen Krone am Nachbarzahn wurde das natürliche Zahnbild wiederhergestellt.


Veneers
Vorher
Der Patient, 49 Jahre, kam mit insuffizienten Füllungen und abradierten Frontzähnen und dem Wunsch nach einem harmonischen Frontzahnbogen zu uns in die Praxis.
Nachher
Durch Anfertigung von Keramikveneers, sowie mit Hilfe von Kunststofffüllungen wurde der ästhetische Eindruck perfektioniert.


Veneers
Vorher
Der Patientin, 39 Jahre, missfiel die Größendifferenz ihrer Frontzähne.
Nachher
Durch minimales Kürzen der zentralen Schneidezähne und das Aufkleben von Verblendschalen auf den seitlichen Schneidezähnen mittels so genannter NON PREP- Veneers, konnten wir die Situation harmonisieren.


Composite
Vorher
Die Patientin, 23 Jahre, kam mit einer kleinen Eckenfraktur in unsere Praxis und wünschte eine Korrektur.
Nachher
Diese konnten wir ausschließlich additiv, d.h. ohne Substanzabtragung des Zahnes mittels Klebetechnik mit Composite beseitigen.


Veneers
Vorher
Patientin, 62, kam mit einem breiten Diastema zu uns in die Praxis und wünschte sich eine schönere Oberkieferfront.
Nachher
Die Zahnsubstanz war völlig intakt und es sollte möglichst wenig präpariert werden. In einer Modellanalyse im Labor wurde gecheckt, ob die Herstellung der Versorgung ohne Präparation möglich ist. Das Ergebnis der Versorgung sind geschichtete Veneers auf feuerfesten Stümpfen, die dünn auf der unbehandelten Oberfläche der Zähne auslaufen.


Composite
Vorher
Patient, 16, hatte sich bei einem Unfall den Frontzahn ausgeschlagen und aufgrund einer darauf folgenden Wurzelkanalbehandlung verfärbte sich der Zahn im Laufe der Zeit dunkler. Der Patient kam zu uns in die Praxis mit dem Wunsch, den Frontzahn aufzuhellen und wieder aufzubauen.
Nachher
Unter dem Mikroskop wurde der Zahn von seiner alten, verfärbten Füllung gereinigt und mit einem intradentalen Bleaching aufgehellt. In der zweiten Sitzung wurde die ursprüngliche schöne Form mit Composite wiederhergestellt.


Composite
Vorher
Patientin, 31, hatte sich bei einem Fahrradunfall einen Frontzahn abgebrochen und kam mit dem Wunsch des Aufbaus einer neuen Front zu uns in die Praxis.
Nachher
Der Zahn wurde ausschließlich mit Microetcher gereinigt und mit Mehrschichttechnik wurde die ursprüngliche Form wiederhergestellt.